ქირურგიის ეროვნულ ცენტრს მიმართა 59 წლის პაციენტმა.
პაციენტი უჩიოდა ტკივილს მუცლის არეში, პირის სიმშრალეს, გულისრევას, ტემპერატურის მატებას. მისი თქმით, აღნიშნული ჩივილები კლინიკაში მიმართვამდე ერთი კვირით ადრე დაეწყო და ვინაიდან ტკივილის ინტენსივობამ იმატა, გადაწყვიტა ამბულატორიულად მუცლის ღრუს კომპიუტერულ–ტომოგრაფიული კვლევის ჩატარება.
ქირურგიის ეროვნულ ცენტრში კომპიუტერული ტომოგრაფია წარმოებს ულტრათანამედროვე, მრავალშრიან კომპიუტერულ ტომოგრაფზე Toshiba aquilion RXL–ზე, რომელიც თავის კლასში უპირობო ლიდერია.
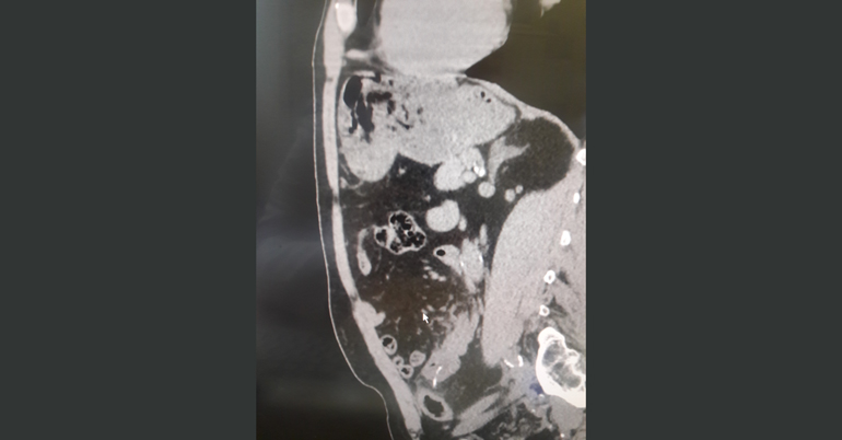
კლინიკის რადიოლოგმა ირაკლი გიგიაძემ შენიშნა, რომ წვრილი ნაწლავი უცხო სხეულით იყო დაზიანებული. დაუდგენელი სახეობის უცხო სხეული ნაწლავის სანათურიდან მუცლის ღრუში გამოდიოდა. პაციენტს ჩაუტარდა ლაპარასკოპია. მოიძებნა და ამოღებულ იქნა უცხო სხეული, ხოლო წვრილი ნაწლავის დაზიანებული უბანი გაიკერა.
უცხო სხეული, რომელიც ქირურგებმა პაციენტის წვრილი ნაწლავიდან ამოიღეს, აღმოჩნდა მეტალის მავთული (ჭურჭლის სახეხის შემადგენელი ნაწილი), რომლის ზომაც 4 სმ–ს შეადგენდა და კუჭ–ნაწლავში საკვებიდან მოხვდა.
პაციენტის დიაგნოსტირებასა და მკურნალობაში მონაწილეობდნენ: ქირურგიის ეროვნული ცენტრის რადიოლოგი ირაკლი გიგიაძე, ქირურგები გიგო ფიჩხაია, კობა ცუცქირიძე და სანდრო კვაჭანტირაძე. რომ არა მათი დროული რეაგირება, პაციენტს პერიტონიტი განუვითარდებოდა და შესაძლოა ორგანიზმში სიცოცხლისთვის შეუსაბამო გართულებები დაწყებულიყო.
რადიოლოგიური სამსახურის, ქირურგებისა და მედპერსონალის გონივრული და ოპერატიული მუშაობის შედეგად პაციენტი მესამე დღეს გაეწერა კლინიკიდან და დაუბრუნდა ცხოვრების ჩვეულ რიტმს.
ქირურგიის ეროვნული ცენტრის მისამართი: ქალაქი თბილისი, დიღომი, ჩაჩავას N5;
ქირურგიის ეროვნულ ცენტრს შეგიძლიათ დაუკავშირდეთ ქოლ–ცენტრის დახმარებით ნომერზე 577 119 119 ან 2 02 25 25;
გისურვებთ ჯანმრთელობას!
