სისხლძარღვთა ქირურგიის განუსაზღვრელი შესაძლებლობები
სტატიაში გაეცნობით შემდეგ ინფორმაციას:
- რა არის საშვილოსნოს არტერიის ანევრიზმა;
- ტრანსკათეტერული არტერიული ემბოლიზაცია;
- სისხლძარღვთა ქირურგიის შთამბეჭდავი წარსული.
საშვილოსნოს არტერიის ცრუ ანევრიზმა, საკმაოდ იშვიათი პათოლოგიაა და იგი ფსევდოანევრიზმად მოიხსენიება. მისი განვითარების ერთ-ერთი მიზეზია რთული ფიზიოლოგიური მშობიარობა, ტრავმული საკეისრო კვეთა.
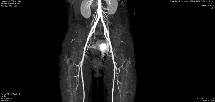
33 წლის პაციენტი მწვავე ჩივილებით (საშოდან ძლიერი სისხლდენა, ტკივილი მენჯში, ძლიერი ზოგადი სისუსტე) მოთავსდა გადაუდებელი დახმარების დეპარტამენტში, მდგომარეობა საყურადღებო იყო. მისი გადმოცემით, ბოლო რამოდენიმე თვის განმავლობაში, პერიოდულად აღენიშნებოდა საშოდან სისხლდენა კოლტებით. შეფასდა ვიტალური მაჩვენებლები, ავიყვანეთ მონიტორულ დაკვირვებაზე. ჩატარებული კვლევების საფუძველზე დაესვა ბუშტნამქერის დიაგნოზი, ჩატარდა ჰისტეროსკოპია და ენდომეტრიუმის ჰისტეროსკოპიული ამოკვეთა, თუმცა, პერიოდულად სისხლდენა კვლავ გრძელდებოდა, რის გამოც დამატებით ჩაუტარდა ქვემო კიდურების ვენების დუპლექსსკანირება და მცირე მენჯის კომპიუტერული ტომოგრაფია. კლინიკური კვლევების შედეგად გამოვლინდა საშვილოსნოს არტერიის დიდი ზომის ცრუ ანევრიზმა. შემდგომი მკურნალობის მიზნით, პაციენტი მოთავსდა საოპერაციო ბლოკში, სადაც ქირურგიულ მკურნალობას მართავდა ენდოვასკულური, სისხლძარღვთა და რეკონსტრუქციული ქირურგიის დეპარტამენტის ხელმძღვანელი გიორგი ჯინჭველაძე.
არტერიული ემბოლიზაცია
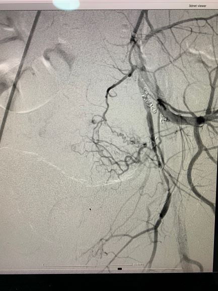
პაციენტს ჩაუტარდა მენჯის სელექტიური სუბტრაქციული ანგიოგრაფია და საშვილოსნოს არტერიის ანევრიზმის ტრანსკათეტერული არტერიული ემბოლიზაცია, რომელიც ენდოვასკულური მკურნალობის ოქროს სტანდარტია, რადგან ის არაინვაზიური, უსაფრთხო და მეტად ეფექტურია.
ამ მეთოდის მედიცინის სფეროში დანერგვამდე, საშვილოსნოს არტერიის ცრუ ანევრიზმის დროს ტარდებოდა ღია ჩარევა, რომელიც დაკავშირებული იყო სისხლის დიდ დანაკარგთან, ტრავმატიზმთან, ხანგრძლივ ზოგად ანესთეზიასთან. გარდა ამისა, მენჯის დისექციამ შეიძლება, გამოიწვიოს ოპერაციის შემდგომი ადჰეზია (შეზრდა, შეხორცება). მართალია, ენდოვასკულური მიდგომა ბევრად უსაფრთხოა, თუმცა ღია ქირურგიული ჩარევა ნაჩვენებია იმ შემთხვევებში, როდესაც არსებობს გარკვეული უკუჩვენებები ამგვარი ტექნიკის გამოყენებისთვის, თუმცა უკუჩვენება ძალიან იშვიათია.
ოპერაციისშემდგომი მდგომარეობის შეფასების მიზნით და სისხლძარღვების სრული ოკლუზიის გამოსარიცხად პაციენტს ჩაუტარდა ემბოლიზაციის შემდგომი ანგიოგრაფიული და კომპიუტერული კვლევა, ადრეულ პოსტოპერაციულ პერიოდში და ოპერაციიდან 2 თვეში, რის შედეგადაც, პათოლოგია აღარ გამოვლინდა.
პაციენტის მდგომარეობა დინამიკაში დამაკმაყოფილებელი იყო; შესაბამისი სამკურნალო რეკომენდაციებისა და დანიშნულების მიცემის შემდეგ კი, იგი გაეწერა ბინაზე.
სისხლძარღვთა ქირურგია, როგორც ქირურგიის ეროვნული ცენტრის ფლაგმანი
1960 წელს, ქირურგიის ეროვნული ცენტრის ბაზაზე ჩაეყარა საფუძველი საქართველოში სისხლძარღვთა ქირურგიის განვითარებას. აქედან გამომდინარე, სისხლძარღვთა, პლასტიკური და რეკონსტრუქციული ქირურგიის დეპარტამენტს ფრიად შთამბეჭდავი წარსული აქვს.
ანგიოქირურგთა წარმატების ერთ-ერთი განმსაზღვრელი ფაქტორია ის, რომ ისინი სრულად ფლობენ ულტრათანამედროვე აპარატურის არსენალს, კლინიკა აღჭურვილია თანამედროვე იაპონური წარმოების ანგიოგრაფით − Shimadzu Trinias B12, რომელიც შესაძლებლობას იძლევა, კომპლექსურად იქნეს აღმოფხვრილი ისეთი ურთულესი პათოლოგიები, რაც ჯერ კიდევ ცოტა ხნის წინ დაუძლევლად ითვლებოდა.
გისურვებთ ჯანმრთელობას!
რა აინტერესებთ პაციენტებს
გარდნერელა
კითხვა: გამარჯობა, ჩემს პარტნიორს აღმოაჩნდა გარდენელას სოკო, მაგრამ ჩემს ანალიზში სოკო საერთოდ არ ამომივიდა ,უნდა გადავამოწმო კიდევ ანალიზი ?თუ შესაძლოა მე არ შემხვედროდა
პოლაკიურია, კუჭის ხშირი მოქმედება
კითხვა: მარიამობას გილოცავთ მაქვს ხშირი შარდვა,ასევე ხშირი კუჭის მოქმედება,ბოლო 2 კვირაა მაქვს ტემპერატურა 37. ვის მივმართო?
მენოპაუზა
კითხვა: რამდენ ხანს შეიძლება გაგრძელდეს მენო პაუზის ცხელება?
პაპილომა ვირუსი
კითხვა: მაინტერესებს თქვენთან თუ კეთდება პაპილომა ვირუსზე ტესტი და შესაბამისად მკურნალობა. ან თუ გაქვთ რაიმე სახის აქციები? საუბარია გენიტალური პაპილომაზე
მენოპაუზა
კითხვა: მოგესალმებით.ვარ 45 წლის.დაახლობებიტ ერთო წელია რაც არ მაქვს ციკლი,მაგრამ პერიოდულად მაქვს სისხლნარევი კავისფერი გამონადენი.არის თუ არა ეს ნორმალური კლიმაქსურ პერიოდში,გაკეტებული მაკვს ციტოლოგია და მიტხრეს არ არის არაფერი.ეხოსკოპია არ გადამიგეს.
ბიოფსია, HPV DNA
კითხვა: გამარჯობა, ვარ 30 წლის და მაქვს საშვილოსნოს ყელის მსუბუქი დისპლაზია ინტრაეპითელიური ნეოპლაზია CIN 1 ასევე HPV DNA მაღალი რისკის 51 ტიპი, კურაციოს ექიმისგან მაქვს მიმართვა რომ მჭირდება საშვილოსნოს ყელის ბიოფსია. მაინტერესებს თქვენთან კეთდება თუ არა და რა მეთოდით? ექიმმა მირჩია გავიკეთო ლაზერით რადგან შვილოსნობისთვის უფრო უსაფრთხოა ვიდრე დანით. ვგეგმავ შვილის ყოლას და მაინტერესებს თუ თქვენთან კეთდება უსაფრთხოდ ეს პროცედურა რომ შემდეგ შევძლო შვილის ყოლა.
